Hello! This is page explaining Cleven's leg

 

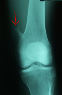
About a year ago, I felt something funny in my left leg. After a couple of runs - Eugene's 10K Butte-to-butte - and other exercises, I started feeling more pain. The pain became more real about 5-6 months ago, so I went to see my doctor. After a couple of X-rays, he said there is a bone growth and he referred me to an orthopedic.

I went to see an orthopedic on June 01 2004 and she told April and I that it is my choice. If it is causing pain and discomfort now, it will not get any better. We agreed surgery is the best solution. The doctor said they can either give me a spinal tap or general anaesthesia. I told her I'd rather get a general after seen the long neddles (epidural) they used to April during births of our kids!

  • June 15th 2004 2:00pm Dr. Lamoreaux I will have a general pre-op consultation
  • June 17th 2004 I will have a surgery, "Excision of Osteochondroma Left Femur". It is only a day-surgery and I will not use my leg for a week and thereafter I will be on the crutches I think for few days -- more on this
  • Surgery instructions

 

April, and wonderful children Mark, Baraka and
Nehemia were at the doctor's office with me.

 
 
Datae Updated: June 9, 2004