"Warm Glow". Marjorie Taylor (2009). 5'x6' rug from wool fabric strips based on images from FSL. Economic theory from Andreoni (1988), fMRI activation from Harbaugh, Mayr, and Burghart (2007).

Bill Harbaugh

A.K.A.: Billy Harbaugh, W. T. Harbaugh, William Harbaugh, William T. Harbaugh, Herr Doctor Professor William Talbot Harbaugh, Ph.D.

face

538 PLC
University of Oregon
Economics Department
Eugene, Oregon 97403-1285

Map to office
44° 2'38.91"N, 123° 4'42.13"W
email: wtharbaugh at gmail dot com
Phone: 541-346-1244
Fax: 541-346-1243

Research: (Scroll way down for papers.)

Altruism and Neuroeconomics: Neuroscience techniques now allow us to look inside the human brain while it experiences economic outcomes and makes economic decisions. Neuroeconomics uses these techniques to ask how people make economic decisions and to examine the implications of those decisions. In "Neural Responses to Taxation and Voluntary Giving Reveal Motives for Charitable Donations." we use fMRI to investigate some classic issues about how society funds public goods.

Economic Behavior of Children: Economic models assume rational individuals with unlimited wants but limited resources. There is little argument about the extent of children’s wants or resources, but some argument about how rational they are. My research in this area, conducted with Kate Krause, Lise Vesterlund, and several UO undergraduates, was the first to ask if economic experiments – that is experiments with real consequences, such as payoffs in cash, toys, or treats – could be used to test models of the behavior of children. Our general conclusion is that economic models of behavior work about as well for children as they do for adults.

Experimental Economics: The Menstrual Cycle and Performance Feedback Alter Gender Differences in Competitive Choices.” David Wozniak, William T. Harbaugh, Ulrich Mayr. Working Paper. October 2010.

The Fourfold Pattern of Risk Attitudes in Choice and Pricing Tasks.” Harbaugh, William T., Kate Krause, and Lise Vesterlund. Economic Journal. June 2010. (Lead article).

 

 

Teaching:

Student Comments: "It was alright." "He is OK". "Not as bad as I'd feared." "I liked this class, I just wish I was passing it."

Teaching Schedule: In fall 2010 I'll teach a large lecture Econ 201 and also Econ 201 for College Scholars. In winter 2011 I'll teach 201 again, and also Econ 428, Behavioral and Experimental economics (with a little neuroeconomics). In 2011-2012 I'll teach Econ 607, a graduate course in behavioral, experimental, and neuroeconomics.

Interested in doing an honors project in Economics? I'm looking for students with excellent computer skills and interests in neuroscience and experimental economics. Previous undergrads have published academic papers with me (one in the AER) and gone on to jobs with the Fed in DC, and to top graduate Econ, Finance, and Law School programs. See some undergraduate honors projects I have supervised here.

Old stuff:

Neural Basis of Compassion:

In April 2010 I participated in the 20th annual Mind and Life meetings in Zurich. The topic was "Compassion in Economics" and it was an interesting 3 day dialogue between economists, psychologists, Buddhist scholars and practioners, and the Dalai Lama.

In October 2010 I participated in a conference organized by CCARE at Stanford. Video of the Dalai Lama's public talk is here, and video of the scientific session is here. My spiel, about research conducted with Ulrich Mayr and Jim Andreoni, starts at 104:00 into it.

With the support of the Dalai Lama, CCARE was started by Jim Doty, the Stanford Neurosciences Institute, and the Stanford Tibetan Studies Initiative. The goal is investigate the neural basis for compassionate behavior and altruism.

Science:

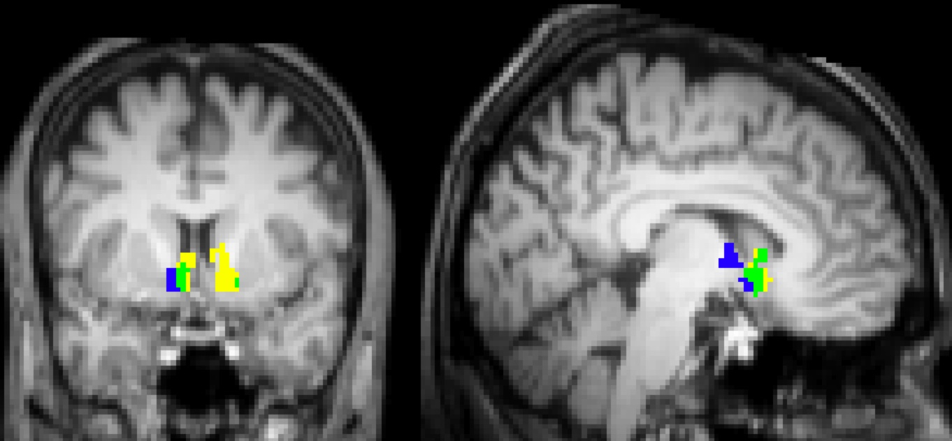
  • Yellow: activates with $ to subject
  • Blue : activates with $ to charity
  • Green: overlap, activates with both

 

"Neural Responses to Taxation and Voluntary Giving Reveal Motives for Charitable Donations."

William Harbaugh, Ulrich Mayr, Dan Burghart. Science, June 15, 2007. Full text here.

The image shows that getting money for yourself and seeing a charity get money activate very similar reward related areas of the brain. Individual differences in the magnitude of these activations help predict who will give voluntarily. Brain activation is higher when people give voluntarily than when they are taxed - but funding for the public good is lower.

See commentary in the London Times, New York Times and New Zealand Farm News.

Download video of Sir Roger Moore (Agent 007) discussing "Giving is Good"

Art:

 

I am curator of the Museum of Scientifically Accurate Fabric Brain Art, the world's largest collection of scientifically accurate fabric brain art. We are planning to house the permanent collection in Palladio's Villa Capra but you can visit us online at neuroscienceart.com while negotiations continue.

As featured in Science and Knitting Help.

Also visit our sister site, the Gallery of Wooden Brains.

Community:

SAIL is UO's Summer Academy to Inspire Learning. Here Chris Ellis uses game theory to teach what's really going on in a Nascar race. Or maybe it was the other way around. We enroll bright kids from low SES backgrounds, give them a taste of college, and teach them a little economics, neuroscience, and physics too.

Bruce Blonigen and I started the program in 2006. With Helen Neville we've expanded the program to include a program in Psychology and Neuroscience, and Raghu Parthasarathy and Heiner Linke added on in Physics and Nanoscience. The program invloves more than 25 UO faculty and staff, and about 40 students so far. News story here.

Piracy:

In 1779, the "4th year of the Independence of the United States of America" the Continental Congress issued Silas Talbot, my 5th great grandfather, this letter of marque giving him permission to

"fit out the Sloop Argo in a warlike manner" and "attack seize or take all Ships or other Vessels belonging to the Inhabitants of Great-Britain."

It was the standard privateer's contract: he also had to post a bond, guaranteeing that he would not "act contrary to the Usage and Customs of Nations."

New Research:

The Menstrual Cycle and Performance Feedback Alter Gender Differences in Competitive Choices.” David Wozniak, William T. Harbaugh, Ulrich Mayr.

The Fourfold Pattern of Risk Attitudes in Choice and Pricing Tasks.” Harbaugh, William T., Kate Krause, and Lise Vesterlund. Economic Journal. June 2010. (Lead article).

"Unexpected Utility: Experimental Tests of Five Key Questions about Preferences over Risk." James Andreoni and William T. Harbaugh, December 2009.  Subjects' Instructions.  Working paper. See a demo of a live decision screen! (requires Java).

"Power Indices for Revealed Preference Tests."  Working paper, Jim Andreoni and William Harbaugh, March 2006. 

The data for most published papers is available on request.

Neuroeconomics:

Neural Responses to Taxation and Voluntary Giving Reveal Motives for Charitable Donations. William Harbaugh, Ulrich Mayr, Dan Burghart. Science. June 15, 2007.

Getting money for yourself and seeing a charity get money activate very similar reward related areas of the brain. Individual differences in the magnitude of these activations help predict who will give voluntarily. Brain activation is higher when people give voluntarily than when they are taxed - but funding for the public good is lower.

Visit Oregon's FMRI research facility, the Lewis Center for Neuro Imaging.

Economic Behavior of Children:

An Experimental Test of Criminal Behavior Among Juveniles and Young Adults . Mike Visser, William T. Harbaugh, Naci Mocan. 2006 NBER working paper.

We report results from economic experiments that provide a direct test of the hypothesis that criminal behavior responds rationally to changes in the possible rewards and in the probability and severity of punishment. The experiments involve decisions that are best described as petty larceny, and are done using high school and college students who can anonymously take real money from each other. We find that decisions about whether and how much to steal are, in general, rational and responsive to the variations in tradeoffs, and sometimes, though not always, to the overall availability of criminal opportunities.

Bargaining by Children. William T. Harbaugh, Kate Krause, and Steve Liday. 2003 working paper.

We study the development of bargaining behavior in children age 7 through 18, using ultimatum and dictator games. We find bargaining behavior changes substantially with age and that most of this change appears to be related to changes in preferences for fairness, rather than bargaining ability. Younger children make smaller dictator proposals than older children, and they also make and accept smaller ultimatum proposals. Even young children seem to be quite strategic in their behavior. Boys claim to be more aggressive bargainers than girls do, but they are not. We also find a relative height effect: within each experimental group, taller children make much smaller dictator offers. Since gender and height are correlated, height alone explains part of the gender effects. We argue that the existence of systematic differences in bargaining behavior across age supports the argument that culture is a determinant of economic behavior, and suggests that people acquire this culture during childhood. We argue that the height differences indicate that forces other than culture are also important.

Learning to Bargain William T. Harbaugh, Kate Krause, and Lise Vesterlund. Journal of Economic Psychology, 2007.

This paper studies how children learn to bargain. We performed simple anonymous bargaining experiments with real payoffs with 256 children from age 8 to 18. Average offers by even the youngest children were close to the amount that maximized their expected monetary payoff. Furthermore offers and responses were similar to what others have reported for adults. The variance of proposals was higher among younger children. Children showed clear evidence of reinforcement learning, responding to a rejection by increasing subsequent proposals. This pattern was strongest for the youngest children, who tended to respond to rejections with larger than payoff-maximizing increases in proposals. We found mixed support for social learning: while proposals increased after other children made larger proposals, they did not increase after proposals by others were rejected.

Risk attitudes of children and adults: choices over small and large probability gains and losses. William T. Harbaugh, Kate Krause, and Lise Vesterlund (2002). Experimental Economics 5(1): 53-84.

In this paper we examine how risk attitudes change with age. We present participants from age 5 to 64 with choices between simple gambles and the expected value of the gambles. The gambles are over both gains and losses, and vary in the probability of the non-zero payoff. Surprisingly, we find that many participants are risk seeking when faced with high-probability prospects over gains and risk averse when faced with small-probability prospects. Over losses we find the exact opposite. Children’s choices are consistent with the underweighting of low-probability events and the overweighting of high-probability ones. This tendency diminishes with age, and on average adults appear to use the objective probability when evaluating risky prospects.

Economic experiments that you can perform at home on your children. Kate Krause and William T. Harbaugh. 1998 Working paper.

This paper describes some simple economic experiments that can be performed and analyzed by undergraduates, using children as subjects. Experiments on children are particularly well suited for undergraduate research projects. The analysis of experimental data is generally straightforward. Since little is currently known about the economic behavior of children, even rather standard experiments protocols can produce new results. We argue that by conducting experiments on children economists can gain insight into the origins of preferences, the development of bargaining behavior and rationality, and into the origins of “irrational” behavior in adults. This paper give examples of successful research projects and discusses what they reveal about the economic behavior of children. We also include suggestions for new projects, and a discussion of practical aspects of experimenting on children, such as appropriate incentives and human subjects approval. Protocols are included that can be used to replicate our experiments.

Trust in Children. Harbaugh, W. T., Kate Krause, Steven G. Liday, and Lise Vesterlund. Chapter in Trust, Reciprocity and Gains from Association: Interdisciplinary Lessons from Experimental Research. Elinor Ostrom and James Walker editors. New York City, Russell Sage Foundation. (Forthcoming)

In this chapter we examined trusting and trustworthy behavior in children. We asked whether our approach to these complex tasks develop with age. We conducted a set of experiments with students in third, sixth, ninth and twelfth grade to investigate this question. Like adults, the students in our experiment did not follow the game-theoretic prediction of passing and returning zero tokens, and we conclude that even the 8-year-old children show clear evidence of trusting and trustworthy behavior. In contrast to common perception we do not find that the youngest participants are more trusting than older cohorts, nor do we find that they are much less trustworthy.

GARP for kids: On the development of rational choice behavior. William T. Harbaugh, Kate Krause, and Tim Berry (2001). American Economic Review, 91(5): 1539-1545.

In this paper we examine the extent to which consumption choices by 7 and 11-year-old children and college undergraduates satisfy the axioms of revealed preference. We find that choices by even the 7-year-olds are considerably more likely to obey revealed preference axioms than would be true if they were choosing randomly. 11-year-olds do better still, while college students do no better than 11-year-old children. We also find that mathematical ability is not correlated with choosing rationally. We argue that this evidence suggests that the ability to choose rationally is not innate, but that it does develop quickly.

Are Adults Better Behaved Than Children? Age, Experience, and the Endowment Effect. William T. Harbaugh, Kate Krause, and Lise Vesterlund (2001). Economics Letters 70(2): 175-81.

If preferences are defined over consumption levels then there should be no difference between the compensation demanded to give up a market good and the willingness to pay for the same good. However many experimental studies have found large disparities between these measures. While some argue that this should be seen as strong evidence for reference-dependent preferences others argue that it is nothing more than a mistake. If it is a mistake, we would expect it to be smaller among more experienced traders. To obtain large differences in market experience to test this, we compare the endowment effect in five to ten-year-old children with that of undergraduates. We find that very large increases in age and experience do not reduce the apparent endowment effect. We take this as strong evidence in support of the hypothesis that the endowment effect reflects underlying preferences and is not a mistake.

Children's Contributions in Public Good Experiments: The Development of Altruistic and Free-riding Behaviors. Kate Krause and William T. Harbaugh. Economic Inquiry, January 2000, 38(10), pp 95-109.

In economic experiments on the voluntary provision of public goods, adults are more altruistic than the narrow definition of self interest would predict. In this paper we see if the same is true among six- through twelve-year-old children. We find that in aggregate the level of altruistic behavior of children is similar to that of adults, but that in repeated experiments the pattern over time is different. Younger children’s contributions tend to increase in later rounds of the experiments, while the contributions of older children, like those of adults, tend to decline. We also find that demographic and family variables do not explain differences in altruistic tastes across children, but a measure of group attachment does. Finally, contributions in a subsequent dictator experiment are correlated with first-round contributions in the public good experiment, but are not strongly correlated with last-round contributions.

Altruism, Public Goods:

Neural Responses to Taxation and Voluntary Giving Reveal Motives for Charitable Donations. William Harbaugh, Ulrich Mayr, Dan Burghart. Science. June 15, 2007.

The Carrot or the Stick: Rewards, Punishments and Cooperation. Jim Andreoni, Bill Harbaugh, Lise Vesterlund (2002). American Economic Review, June 2003, 93(2) pp 893-902.

We examine demands for rewards and punishments in a simple proposer-responder game. The proposer first makes an offer to split a fixed-sized pie. According to the 2 × 2 design, the responder is or is not given a costly option of increasing or decreasing the proposer’s payoff. We find substantial demands for both punishments and rewards. While rewards alone have little influence on cooperation, punishments have some. When the two are combined the effect on cooperation is dramatic, suggesting that rewards and punishments are complements in producing cooperation. Providing new insights to what motivates these demands is the surprising finding that the demands for rewards depend on the availability of punishments.

The prestige motive for making charitable transfers. William T. Harbaugh. American Economic Review, Papers and Proceedings, May 1998, 88(2), pp 277-82.

Charities publicize the donations they receive, generally according to dollar categories rather than the exact amount. Donors in turn tend to give the minimum amount necessary to get into a category. These facts suggest that donors have a taste for having their donations made public. This paper fits this model to contributions by lawyers to their law school.

What do donations buy? William T. Harbaugh. Journal of Public Economics, February 1998, 67(2), pp 269-84.

Charities publicize the donations they receive, generally according to dollar categories rather than the exact amount. Donors in turn tend to give the minimum amount necessary to get into a category. These facts suggest that donors have a taste for having their donations made public. This paper models the effects of such a taste for “prestige” on the behavior of donors and charities. I show how a taste for prestige means that charities can increase donations by using categories. The paper also discusses the effect of a taste for prestige on competition between charities.

Children's Contributions in Public Good Experiments: The Development of Altruistic and Free-riding Behaviors. Kate Krause and William T. Harbaugh. Economic Inquiry, January 2000, 38(10), pp 95-109.

In economic experiments on the voluntary provision of public goods, adults are more altruistic than the narrow definition of self interest would predict. In this paper we see if the same is true among six- through twelve-year-old children. We find that in aggregate the level of altruistic behavior of children is similar to that of adults, but that in repeated experiments the pattern over time is different. Younger children’s contributions tend to increase in later rounds of the experiments, while the contributions of older children, like those of adults, tend to decline. We also find that demographic and family variables do not explain differences in altruistic tastes across children, but a measure of group attachment does. Finally, contributions in a subsequent dictator experiment are correlated with first-round contributions in the public good experiment, but are not strongly correlated with last-round contributions.

If people vote because they like to, then why do so many of them lie? William T. Harbaugh. Public Choice, October 1996, 89(1-2), pp 63-76.

Of those eligible, about 40% do not vote in presidential elections. When asked, about a quarter of those nonvoters will lie to the survey takers and claim that they did. Increases in education are associated with higher voting rates and lower rates of lying overall, but with increased rates of lying conditional on not voting. This paper proposes a model of voter turnout in which people who claim to vote get praise from other citizens. Those who lie must bear a cost of lying. The model has a stable equilibrium with positive rates of voting, honest non-voting, and lying. Reasonable parameter changes produce changes in these proportions in the same direction as the changes actually observed across education levels.

Other Economics Topics:

The Fourfold Pattern of Risk Attitudes in Choice and Pricing Tasks.” Harbaugh, William T., Kate Krause, and Lise Vesterlund. Economic Journal. June 2010. (Lead article).

Using simple gambles with real payoffs we examine the robustness of the fourfold pattern (FFP) of risk attitudes under two different elicitation procedures. That is, we determine if on average individuals are (1) risk-seeking over low-probability gains, (2) risk-averse over high-probability gains, (3) risk-averse over low-probability losses, and (4) risk-seeking over high-probability losses. We find that participants’ risk attitudes are consistent with the FFP when using the Becker-DeGroot-Marschak procedure to elicit prices for the gambles. However,when instead relying on a simple choice-based elicitation where participants choose between the gamble and its expected value, individual decisions are not distinguishable from random choice. This sensitivity to the elicitation procedure holds both between- and within-participants, and it remains even when participants review their price and choice decisions simultaneously and are allowed to change them. Given the greater complexity of the price elicitation procedure this finding may be further evidence that an increase in cognitive load exacerbates behavioral anomalies.

Reexamining the Empirical Evidence for an Environmental Kuznets Curve. William T. Harbaugh, Arik Levinson, and David Molloy Wilson. The Review of Economics and Statistics. August 2002, 84(3): 541-551.

This paper uses an updated and revised panel data set on ambient air pollution in cities worldwide to examine the robustness of the evidence for the existence of an inverted-U-shaped relationship between national income and pollution. We test the sensitivity of the pollution-income relationship to functional forms, to additional covariates, and to changes in the nations, cities, and years sampled. We find that the results are highly sensitive to these changes, and conclude that there is little empirical support for an inverted-U-shaped relationship between several important air pollutants and national income in these data.

Demonstrating Worker Quality Through Strategic Absenteeism. William T. Harbaugh and Anne van den Nouweland. 2002. International Game Theory Review, forthcoming.

Determining the productivity of individual workers engaged in team production is difficult. Monitoring expenses may be high, or the observable output of the entire team may be some single product. One way to collect information about individual productivity is to observe how total output changes when the composition of the team changes. While some employers may explicitly shift workers from team to team for exactly this reason, the most common reasons for changes in team composition are at least partly voluntary: vacation time and sick days. In this paper, we develop a model of optimal absenteeism by employees which accounts for strategic interactions between employees. We assume the employer uses both observed changes in output and the strategies of the employees to form beliefs about a given worker's type. We argue that the model we develop is applicable to a variety of workplace situations where signaling models are not, because it allows a worker's decisions to provide information about other workers, as well as about himself.

Other Topics:

Other Economists:

Family Matters:

  • My father, Professor William Henry Harbaugh, died on April 28th, 2005. A memorial is at harbaugh.org/WHH.
  • Harbaugh History Pages. Good churchgoing German stock, with an unfortunately recessive musical gene.
  • Mom is descended from a long line of women's libbers, doubters of the King's moral authority, and outright privateers:
  • Marjorie Taylor's Page. My wife is a developmental psychologist at Oregon, who does research on imaginary companions.
  • Amber Taylor's page. My daughter Amber Taylor and her reel and filmography.
  • Sarah Wunderlich. A daughter without a homepage of her own.
  • Anna Harbaugh. Another daughter without a web page.
  • Lyn Harbaugh. My sister without a web page.
  • Rick Harbaugh My brother is world famous for his work on understatement.
  • My sister-in-law, Nandini Gupta - also an economist.

Other Stuff:

My non-academic achievements:

  • Merit badges in Cooking and Marksmanship. Boy Scout Troop 19, 1971-73. Rick Harris, Scoutmaster.
  • Bicycle mechanic. Blue Wheel Bike Shop, Charlottesville VA, 1972-1978. Bill Gray, Proprietor.
  • FCC First Class Radio-Telephone Operator's License, 1977.
  • Substitute DeeJay for “Nothing But The Blues.” WTJU, Charlottesville VA , 1977. Hi Zef.
  • TV control room operator. WCHV, Charlottesville VA , 1978. Yes, you were right to fire me, sorry about the quad tape all over the room.
  • Gardener. The Garden Spot, Charlottesville VA , 1979.
  • Vespa Repairman. Tumbleweed Cyclery, Chapel Hill NC, 1979.
  • Doodlebugger, Juggie, Dynamite Carrier, Chainman, Rodman, and Junior Surveyor, for various seismographic oil exploration companies from the Uintas north to the Sukunka and Star Valley east to the Missouri Breaks. 1980-1982. Sorry about calling the border patrol Ken, but next time keep that 44 out of my face.
  • Migrant farm worker. Apricots and Peach picking. Columbia River Valley. 1983. Hope everyone is happily married.
  • VW engine rebuilding and maintenance. El Fuerte, Jackson Hole, Bozeman, and numerous other roadside locations. 1980-1987.
  • All-round boat repair. A to Z Marine, San Diego, 1986.
  • Marine Electrician. Power and Wind Marine Electronics, San Diego, 1987. Hi Jimbo - look me up.
  • Demographer. National Decision Systems, Encinitas, CA, 1988-1989. What's up, Loren?
  • Fairy-tale writer. “The Truth About Cinderella and Her Evil Stepsisters” Bill Harbaugh and Daughters, 2002.